El siguiente estudio llega a datos que confirman que el síndrome de apnea obstructiva del sueño(SAOS) se asocia con un aumento de anomalías cardiovasculares detectables por ecocardiografía, lo que subraya la necesidad de realizar pruebas de detección cardiovasculares rutinarias en pacientes con SAOS. Dadas las implicaciones sistémicas del SAOS más allá de las alteraciones del sueño, un enfoque multidisciplinario es esencial para el diagnóstico precoz y el manejo optimizado, con el objetivo de mitigar el riesgo cardiovascular y mejorar los resultados. El SAOS es un factor de riesgo cardiovascular significativo que requiere atención clínica integral.
———————————————
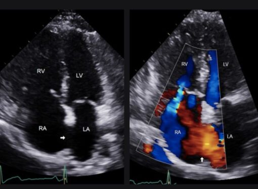
The following study presents data confirming that obstructive sleep apnea syndrome (OSAS) is associated with an increased number of cardiovascular abnormalities detectable by echocardiography, underscoring the need for routine cardiovascular screening in patients with OSAS. Given the systemic implications of OSAS beyond sleep disturbances, a multidisciplinary approach is essential for early diagnosis and optimized management, with the goal of mitigating cardiovascular risk and improving outcomes. OSAS is a significant cardiovascular risk factor requiring comprehensive clinical care.
Enlace/Link: https://www.mdpi.com/2077-0383/15/3/1239

